Authors:
De Simone Belinda1**, Del Rio Paolo2, Napoli Josephine Andrea3 and Sianesi Mario2
1Department of Emergency and General Surgery, Tourcoing’s Hospital, Tourcoing, France
2Dpt of General Surgery and Organ Trasplantation, Parma University Hospital, Parma, Italy
3Department of Medical Sciences, University of Hawaii, Hawaii, United States of America
Received: 22 April, 2016; Accepted: 06 June, 2016; Published: 08 June, 2016
Dr. De Simone Belinda, Department of Emergency and General Surgery, Surgical Sciences, Tourcoing’ Hospital, Tourcoing, France, E-mail:
de Simone B, del Rio P, Napoli AJ, Sianesi M (2016) Choledochal Cyst in a Female Adult Asymptomatic Patient: Review of the Literature. Global J Med Clin Case Reports 3(1): 008-011. DOI: 10.17352/2455-5282.000024
© 2016 de Simone B, et al. This is an open-access article distributed under the terms of the Creative Commons Attribution License, which permits unrestricted use, distribution, and reproduction in any medium, provided the original author and source are credited.
Choledochal cyst; Todani’s Classification; Cholangiocarcinoma; Roux en Y hepatico-jejunostomy
Cystic disease of the bile duct is a congenital abnormality of the biliary tree that most commonly affects the neonatal population, and is uncommon after childhood, it is rarely diagnosed in adults. We report the case of a 42-year-old woman affected by choledochal cyst type I, according to Todani’s classification, found unintentionally. The patient was submitted to the complete surgical excision of choledochal cyst, and discharged on the 11th postoperative day without complications.
Introduction
Cystic disease of the bile duct (CDBD) is a congenital abnormality of the biliary tree that occurs most commonly in the neonatal population (1 / 150000 live births in North America) [1], with a high prevalence in Asian countries, and increased female prevalence relative to males (F : M = 3:1) [2]; it occurs very rarely in adults in Europe.
CDBD is characterized by a cystic dilatation of intra- and/or extra- hepatic bile ducts, with a multifactorial etiology: an anatomic abnormality of the biliary-pancreatic junction (Babbit’s “common channel” theory, 1969) [2], allows the reflux of the pancreatic juice into the biliary tree, which is associated with a functional obstruction (biliary stasis and lithiasis) to the normal outflow of bile, which leads to chronic inflammation of the epithelial lining of the bile ducts. Chronic inflammation results in a cystic dilatation of the wall of the ducts, and is associated with an increased risk of developing cholangiocarcinoma in youth [2,3]. The risk of developing cholangiocarcinoma in young patients affected is increased 20 -30 times compared to in the general population [2].
The only curative treatment of CDBD is surgery, considering the significant association between the disease and the development of cholangiocarcinoma.
We report the case of a 42-year-old female patient, affected by a type I choledochal cyst, according to Todani’s classification (Tdc).
Case Report
A 42-year-old woman was admitted in our Operative Unit of General Surgery and Organ Transplantation because of an incidental radiological diagnosis of choledochal cysts type I, according to Tdc. At the admission, she presented with nausea and unspecified gastritis. The patient was affected by Factor VII Deficiency; she had no family history of neoplastic diseases, cardiovascular and pulmonary diseases; she was not diabetic. The patient was not a smoker, she did not take drugs, and she never presented allergic reactions to medications or foods; she reported episodes of tachycardia and palpitations without any pathological significance in accordance with the cardiological evaluation.
At physical examination, the patient did not present jaundice or abdominal pain; no abdominal masses were palpable. The patient had laboratory blood tests that revealed a Protrombin. Time ratio of 1.16, and International National Ratio (INR) of 1.15; neoplastic markers (CEA, Ca 19-9) were normal.
The preoperative anesthetist evaluation has been assigned an American Society of Anesthesiologists (ASA) score 2.
She received the diagnosis of choledochal cyst type I when, because of urinary disorders, she had abdominal ultrasound evaluation that showed her gallbladder was not completely extended, with contracted walls. The gallbladder contained microlithiasis and gallstones of 6mm in diameter; no dilatation of intrahepatic biliary ducts was present; and, a 79x21 mm type 1 choledochal cyst, according to Tdc, was detected.
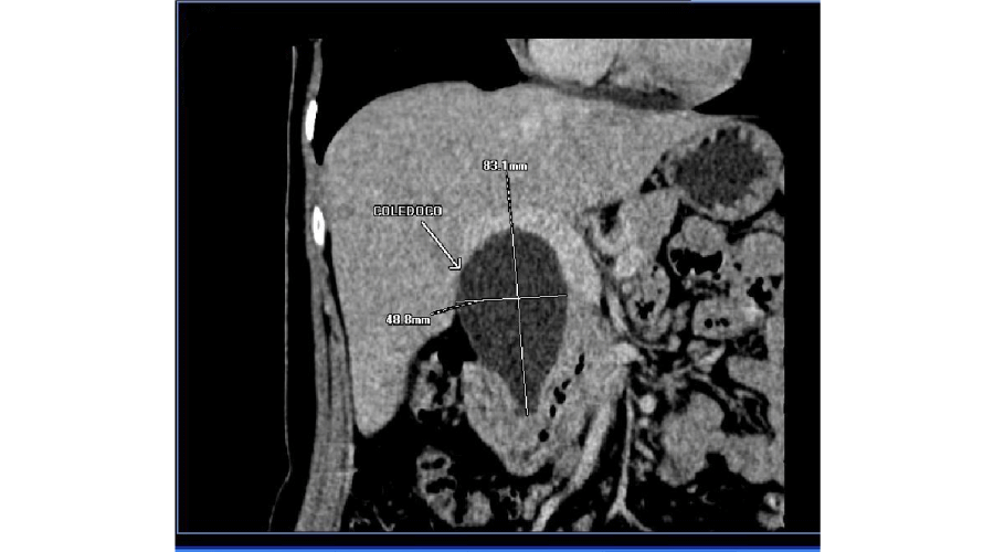
After this primary diagnosis, she was underwent an abdominal CT, which showed a fluid formation of about 50mm in diameter, extending for about 70mm along the choledochus, morphologically compatible with type I b choledochal cyst. CT revealed no gallstones within the common bile duct and no thickening wall of the common bile duct; the pancreas had regular morphology, and no dilatation of the Wirsung duct. A 60x40mm cyst was detected on the right ovary.
The MRCP confirmed the presence of a cyst of the bile duct, classified type I, sized 60x42mm; the choledochus was dilatated, without endoluminal gallstones; there was no expansion of the intrahepatic ducts; gallbladder sludge was present and microlithiasis. The main pancreatic duct was regular and no focal pancreatic lesions were detected (Figure 1).
- Wang QG, Zhang ST (2009) A rare case of bile duct cyst. World J Gastroenterol 15: 2550-2551 .
- Mabrut JY, Bozio G, Hubert C, Gigot JF (2010) Management of congenital bile duct cysts. Dig Surg 27: 12-18.
- Liu CL, Fan ST, Lo CM, Lam CM, Poon RT, et al. (2002) Choledochal cysts in adults. Arch Surg 137: 465-468 .
- Ziegler KM, Pitt HA, Zyromski NJ, Chauhan A, Sherman S, et al. (2010) Choledochoceles: are they choledochal cysts? Ann Surg 252: 683-690 .
- Gouda BP, Desai DC, Abraham P, Joshi A, Shah SR (2010) Choledochal cysts with chronic pancreatitis in adults: report of two cases with a review of the literature. JOP 11: 373-376 .
- Huang CS, Huang CC, Chen DF (2010) Choledochal cysts: differences between pediatric and adult patients.J Gastrointest Surg 14: 1105-1110 .
- She WH, Chung HY, Lan LC, Wong KK, Saing H, et al. (2009) Management of choledochal cyst: 30 years of experience and results in a single center. J Pediatr Surg 44: 2307-2311 .
- Benhidjeb T, Ridwelski K, Wolff H, Münster B, Naundorf M, et al. (2010) Anomaly of the pancreatico-biliary junction and etiology of choledochal cysts. Zentralbl Chir 116: 1195-1203.
- Haciyanli M, Genc H, Colakoglu O, Aksoz K, Unsal B, et al. (2010) An adult choledochal cyst--the magnetic resonance cholangiopancreatography findings: report of a case. Surg Today 38: 1056-1059.
- Sacher VY, Davis JS, Sleeman D, Casillas J (2013) Role of magnetic resonance cholamgiopancreatography in diagnosing choledochal cysts: case series and review. World J Radiol 5: 304-312.
- Komi N, Tamura T, Miyoshi Y, Kunitomo K, Udaka H, et al. (1984) Nationwide survey of cases of choledochal cyst. Analysis of coexistent anomalies, complications and surgical treatment in 645 cases. Surg Gastroenterol 3: 69-73 .
- Khan SA, Davidson BR, Goldin R, Pereira SP, Rosenberg WM, et al. (2002) British Society of Gastroenterology. Guidelines for the diagnosis and treatment of cholangiocarcinoma: consensus document. Gut 6: VI1-9 .
- Singham J, Yoshida EM, Scudamore CH (2009) Choledochal cysts: part 2 of 3: Diagnosis. Can J Surg 52: 506-511 .
- Tian Y, Wu SD, Zhu AD, Chen DX (2010) Management of type I choledochal cyst in adult: totally laparoscopic resection and Roux-en-Y hepaticoenterostomy. J Gastrointest Surg 14: 1381-1388 .
- Akaraviputh T, Trakarnsanga A, Suksamanapun N (2010) Robot-assisted complete excision of choledochal cyst type I, hepaticojejunostomy and extracorporeal Roux-en-y anastomosis: a case report and review literature. World J Surg Oncol 8: 87 .
- Koshinaga T, Inoue M, Ohashi K, Sugito K, Ikeda T, et al. (2010) Persistent biliary dilatation and stenosis in postoperative congenital choledochal cyst. J Hepatobiliary Pancreat Sci 18: 47-52 .
- Machado NO, Chopra PJ, Al-Zadjali A, Younas S (2015) Choledochal Cyst in Adults: Etiopathogenesis, Presentation, Management, and Outcome-Case Series and Review. Gastroenterol Res Pract 2015: 602591 .
- Jin LX, Fields RC, Hawkins WG, Linehan DC, Strasberg SM (2014) A New Operative Approach for Type I Choledochal Cysts. J Gastrointest Surg 18: 1049-1053 .
- Wani BN, Jajoo SN (2009) Obstructive jaundice in neonates. Trop Gastroenterol 30: 195-200 .





Figure 1:
In the immediate preoperative period, the patient was treated with vitamin K to minimize bleeding risk during surgery, considering her factor VII deficiency.
There was no absolute medical contraindication to perform the intervention; therefore, the patient underwent surgery.
Complete surgical excision of the type I b choledochal cyst, from the biliary junction to the entire dilated tract, was performed along with a cholecystectomy. Biliary reconstruction was made using an end-to-side Roux en Y hepaticojejunostomy procedure, in laparotomy. Intraoperatively, we found the common bile duct with a cystic fusiform dilatation measuring about 6x10cm, coated on the I-II portion of the duodenum and on the posterior surface of the head of the pancreas.
One drainage tube was positioned near the hepatico-jejunostomy. At day 2, the patient developed an anastomotic leak (total bilirubin was 32,9 mg/dl in the abdominal fluid drained) which was treated conservatively with IV fluids and antibiotics; at day 4 and 5, there was no bile in the abdominal fluid drained. At day 6, the patient was underwent an abdominal ultrasound that was negative for abdominal collection and she then began to eat. The intra-abdominal drain was removed at day 10. The patient was discharged on the 11th postoperative day with the following therapy: ursodeoxycholic acid 400 mg/day for six months. Three month and 1 year after the surgical procedure, patient test results were normal, including plasmatic dosage of CEA, Ca 19.9 neoplastic markers, the liver function, MRCP, and abdominal Ultrasound examination. The patient was asymptomatic.
Histological examination of the excised gallbladder was characteristic of chronic cholecystitis; the histological examination of the choledochal cyst showed a biliary epithelial lining with mild fibrosis.
Discussion
CDBD is a rare congenital anomaly of the biliary tree, characterized by cystic expansion of the bile ducts, associated with an anatomical abnormality of the biliary-pancreatic junction and functional obstruction of the bile duct. It has a high prevalence in Asian countries and affects mainly children and young women [3,4].
Choledochal cysts have been classified by Todani in 1977, based on three criteria: location (intrahepatic / extrahepatic), extension (segmental or complete) and shape (saccular or fusiform) of the cyst, as summarized in the Table 1. Cyst type I is the most common choledochal cyst [5].
Table 1:
Todani's choledochal cyst classification. [19].
CDBD usually remains asymptomatic for many years; often it presents with nonspecific symptoms such as nausea, vomiting, abdominal pain, intermittent jaundice, or it can mimic a biliary tract lithiasis clinical picture. The pathognomonic triad of abdominal pain, jaundice, palpable mass in right hypocondrium is rarely seen in adults [3,5,6).
The diagnosis of choledochal cysts can be done antenatally by ultrasonography, but the technique is operator-dependent; in adults, the diagnosis is usually made during clinical investigations required for other reasons [7,8].
Magnetic Resonance Cholangio-Pancreatography (MRCP) is the gold standard test for a careful study of the CDBD and to obtain precise information about the whole biliary tree anatomy [9]. It is not invasive and it allows the surgeon to choose and plan the appropriate surgical therapy [10].
In the detection of CDBD, we have other diagnostic tests including Percutaneous Trans-Hepatic Cholangiography (PTHC), Computed Tomography (CT), and Endoscopic Retrograde Colangio-Pancreatography (ERCP), all of which have acceptable sensitivity [4].
Our patient received a diagnosis of choledochal cyst by abdominal US, requested to investigate the origin of recurrent urinary disorders. We decided to study her biliary tree at first with CT because early available in our hospital and then by MRCP) because it provides important information about the extra-hepatic and/or intra-hepatic extent of biliary dilatation, that can be missed at US examination (operator-dependent).
Surgery is the only curative treatment and it has to be conducted as early as possible, even for asymptomatic patients for the risk of developing cholangiocarcinoma, that increase over time.
In patients who have CCD at 10 years of age or younger, the risk of developing cholangiocarcinoma is approximately 1%, whereas the risk increases to 15% for patients older than 20 years of age, 26% in patients above 40 years, and 45.5% in patients above 70 years [11,12]. The histological types of cancer are adenocarcinoma (73%–84%), anaplastic carcinoma (10%), undifferentiated cancer (5%–7%), squamous cell carcinoma (5%), and others (1.5%) [13]. The locations of the cancer are extrahepatic bile ducts (50–62%), gall bladder (38%–46%), intrahepatic bile ducts (2.5%), liver (0.7%), and pancreas (0.7%) [13].
For choledochal cyst type I, the surgical procedure involves the complete excision of the dilated duct wall, the cholecistectomy and the biliary reconstruction by Roux en Y hepatico-jejunostomy or hepaticoduodenostomy. These intervention has potential complications including bleeding, pancreatitis, biliary fistula and the appearance of intra-abdominal infections; or later complications including wound infection, development of lithiasis of the biliary ducts, cholangitis, stenosis of the biliary-digestive anastomosis and cholangiocarcinoma.
In our experience, we performed complete excision of choledochal cysts, associated with cholecystectomy, and Roux en Y hepatico-jejuno-anastomosis in laparotomy.
The patient developed a non-complicated anastomotic leak which was treated conservatively.
The mini-invasive approach, which includes laparoscopy and the use of robotic technology [14,15], is feasible, safe, but expensive and it requires a careful selection of patients and a long learning curve for the surgeon [14,15]. For these reasons, it can be done only in specialized centers by experienced surgeons. Laparoscopic technique has been introduced, especially considering the large number of young women affected (good cosmetic result using laparoscopic approach).
After surgery, these patients require a long term follow-up because of the risk of stenosis of the biliary-digestive anastomosis, and the increased risk of developing cholangiocarcinoma [2,15-17).
The surgical procedure for choledocal cyst type I is total excision of the cyst with biliary reconstruction, made according to Roux en Y hepaticojejunostomy technique [17].
Recently, Jin et al., presented a modification of the surgical technique for open excision of type I choledochal cysts. In fact, the commonly used operative technique provides poor access to the structures posterior to the cyst, principally the portal vein, and poor visibility of the junction of the cyst with the hepatic ducts and the pancreatic duct. Jin et al. affirm that this modification reduces these problems. The key operative step involves early transection of the choledochal cyst near its midpoint; this provides improved access to the back of the cyst. Slitting the sides of the cyst allows clear visibility, from within the cyst, of the union of the hepatic ducts with the cyst, and the entrance of the pancreatic duct, thus protecting them [18].
We do not have experience with this technique.
Conclusion
Choledochal malformations is a rare congenital abnormalities in adults.
Adult patients are often asymptomatic or present with nonspecific gastrointestinal symptoms.
The diagnosis of CDBD cystic disease of the bile ducts is made by abdominal US but its sensitivity is operator dependent. The current gold standard for staging CDBD is MRCP. TC and ERCP allow us to study and plan surgical strategy.
Early diagnosis is important because of the increasing risk of developing cholangiocarcinoma with the age.
Surgery is the only curative treatment and it’s better to refer patients to specialized centers to avoid life threatening postoperative complications.
A long term follow up is mandatory for all patients using ultrasonography and laboratory investigations including liver function parameters and tumor markers as CEA, CA 19-9 and CA-125.