Cite this as
Youssef AA, Nada A, Elkiki HA (2023) Ethmoidal sinus osteoma associated with Pneumocephalus. Glob J Medical Clin Case Rep 10(3): 016-018. DOI: 10.17352/2455-5282.000171Copyright License
© 2023 Youssef AA, et al. This is an open-access article distributed under the terms of the Creative Commons Attribution License, which permits unrestricted use, distribution, and reproduction in any medium, provided the original author and source are credited.The most common causes of intracranial air are head trauma and neurosurgical procedures. Less common etiologies include infection due to gas-forming organisms, mucoceles, tumors, congenital neuroenteric cysts, and dural defects. Here, we present a case of an ethmoidal sinus osteoma associated with pneumocephalus.
Osteomas of the paranasal sinuses are benign, often asymptomatic, tumors that progress very slowly. Endocranial development of an osteoma can breach the dura mata, allowing air to enter the cranium producing pneumocephalia which leads to severe neurological deficiencies. Pneumocephalia is an exceptional complication of osteoma.
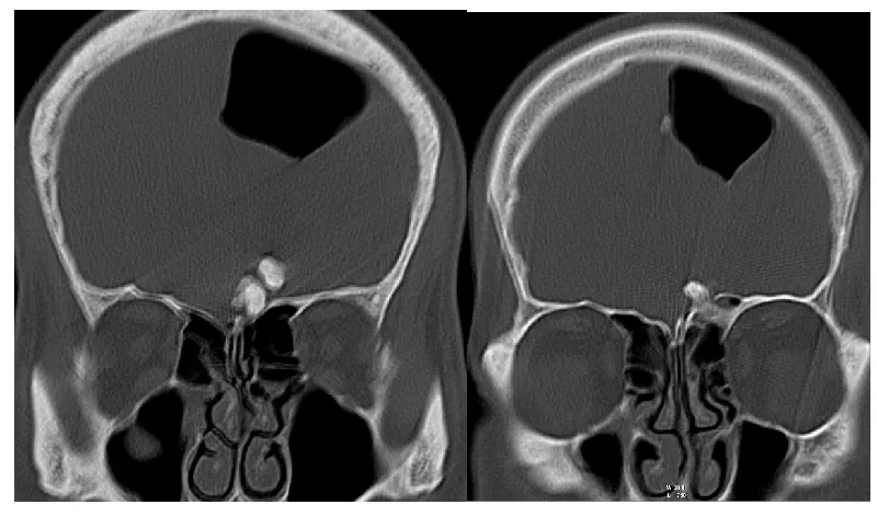
A 46-year-old man was admitted to the hospital with a persistent headache in the frontal area lasting approximately one year which was resistant to analgesics. His physical and neurological examination was normal. After written consent, Cranial Computed Tomography (CT) was performed to exclude the intracranial pathology and revealed large intracranial extra-axial air collection extending to the vertex with no evidence of other intra-axial pathology. Abnormal lobulated calcification is seen in the vicinity of the frontoethmiod region (Figure 1).
The subsequent true cranial view is obtained and revealed the aforementioned air collection is transported to the parietal region (Figure 2), and bone window reformatting shows a well-defined macro-lobulated bony projection is seen extending from the anterior ethmoidal sinus projecting intracranially (Figure 3).
A crack in the superior wall of the ethmoidal sinus is noted arrow in Figure 2 and explains the formation of the intracranial air collection.
Pneumocephalus usually occurs due to head trauma and neurosurgical procedures. Infection due to gas-forming organisms, mucoceles. congenital neuroenteric cysts and dural defects may also cause pneumocephalus [1,2].
Accurate localization of the site of air entry is essential for planning the surgical treatment of pneumocephalus. Localization is more difficult when pneumocephalus is characterized by scattered air bubbles rather than a porencephalic cavity [2]
Osteomas are benign, slow-growing bone tumors, most commonly affecting the frontal and the ethmoidal sinuses, although the maxillary and sphenoid sinuses may also be involved. These tumors are often asymptomatic in their early stages. However, due to the peculiar anatomic relationships, patients having an osteoma within the frontal, ethmoidal sinus can be exposed to serious orbital and intracranial complications [3].
Basically, three theories have been advanced regarding the aetiopathogenesis of sinus osteoma: - traumatic, infective, and embryological. None of these theories seems to be more accredited than the others or able to exclude them. In fact, there is not always a traumatic event in the case history. Even if it has been shown that inflammation can stimulate osteoblastic activity, sinus inflammation usually follows ostium obstruction. According to the embryological theory, the osteoma would originate in the frontoethmoidal sutures, where there are both membranous and cartilaginous tissues, but many osteomas develop far from these areas [4].
Although paranasal sinus osteomas are common, intraorbital and intracranial complications including proptosis, diplopia, amaurosis fugax, CSF fistula, meningitis, and pneumocephalus are rare [5].
The clinical onset of an uncomplicated osteoma is most often characterized by facial pain and headache but pneumocephalus may be the first sign of a previously unrecognized osteoma, representing a sudden and unexpected complication. Growing osteoma erodes the sinus wall, dura mater, and arachnoid membrane, allowing air into the cranial cavity. Intracranial air collection can be subdural, subarachnoidal, intracerebral, or even intraventricular. Mucocele formation may be associated with it. Meningitis and brain abscesses may also occur [3].
Most cases of tension pneumocephalus are related to trauma, often involving fractures of the frontal sinuses and ethmoid air cells. Iatrogenic causes also are common and include not only craniofacial surgery but also procedures that cause a reduction in intracranial pressure such as CSF shunting or evacuation of a subdural hematoma. Tension pneumocephalus related to tumors of the paranasal sinuses is unusual and is most often described in association with frontal and ethmoid sinus osteomas. Cases have also been reported of pneumocephalus secondary to an epidermoid tumor and a squamous cell carcinoma of the sinuses [6].
The mechanism of spontaneous pneumocephalus is related to the meningeal anatomy in the anterior cranial fossa. With the dura being thin and close to the bone and the arachnoid adherent to the frontal lobe, frontoethmoidal meningeal lacerations frequently result in subdural air or occasionally intracerebral air due to adhesions directly to the frontal lobe [7].
If the air accumulation is intracranial it is more prominent in plain radiographs and cranial CT, which is the case in the present patient. When the intracranial air is under tension, it can act like a mass causing severe neurological complications and known as “tension pneumocephalus”. Severe headache, vomiting, cranial nerve deficits, sensory-motor dysfunction, and personality changes may develop [3].
Neurological deterioration may develop in a few hours or, in patients who are able to compensate for increased intracranial pressure, symptoms may progress slowly over weeks, months, or even years [8]. From the clinical point of view, severe headache was frequently present in the previously reported cases, sometimes associated with vomiting and signs of raised intracranial pressure [3].
In the present case, the pneumocephalus showed the typical symptom and presented with severe headaches lasting approximately one year, and no acute neurological deterioration developed. Although the diagnosis of intracranial air is not difficult on routine radiographs, CT is of fundamental importance in detecting the primary lesion and defining the extent of intracranial air collection. CT can also differentiate between epidural, subdural, subarachnoid, and intraparenchymal air in most cases [3].
Clinical behavior in the presence of a small osteoma of the air sinuses is still a matter of debate and different approaches are recommended. Follow-up may be suitable for very small lesions, however, resection should be considered if they show signs of progression. Close follow-up by imaging may avoid life-threatening complications.
A relatively rare condition of intracranial pneumatocele secondary to an ethmoidal sinus osteoma eroding bony wall and breaching dura mater is described. The scanty body of literature on this subject is briefly summarized, and the importance of this condition as a result of its life-threatening but readily treatable intracranial mass effect is outlined.
 This work is licensed under a Creative Commons Attribution 4.0 International License.
 This work is licensed under a Creative Commons Attribution 4.0 International License.

PTZ: We're glad you're here. Please click "create a new query" if you are a new visitor to our website and need further information from us.
If you are already a member of our network and need to keep track of any developments regarding a question you have already submitted, click "take me to my Query."