Global Journal of Medical and Clinical Case Reports
1Department of Cardiology, IRCCS G. Gaslini - Children’s Hospital, Genova, Italy
2DINOGMI, IRCCS G. Gaslini - Children’s Hospital, Genova, Italy
3Department of Cardiology, Spedali Civili Hospital, University of Brescia, Brescia, Italy
Cite this as
Siboldi A, Falchi N, Curnis A, Formigari R. Extracting a Fractured Lumen less Lead Wire Floating Clockwise in the Right Outflow Tract: Challenges and Complications in Pediatric Age. Glob J Medical Clin Case Rep. 2025:12(10):221-224. Available from: 10.17352/gjmccr.000230
Copyright License
© 2025 Siboldi A, et al. This is an open-access article distributed under the terms of the Creative Commons Attribution License, which permits unrestricted use, distribution, and reproduction in any medium, provided the original author and source are credited.Implantation of cardiovascular implantable electronic devices (CIEDs) in pediatric patients presents unique challenges due to anatomical and growth-related factors. Lumenless leads, designed for smaller vascular calibers, are increasingly utilized; however, their extraction may be complicated by fracture and entrapment.
We report a 17-year-old male with congenitally corrected transposition of the great arteries and complete atrioventricular block who underwent multiple pacemaker implantations and revisions. Following fracture of a Medtronic 3830 lumenless ventricular lead, a residual fragment remained anchored in the left ventricular outflow tract. Years later, imaging revealed the fragment oscillating freely within the ventricular cavity. Percutaneous retrieval was successfully performed using femoral venous access with a Zurpaz Medium Curl introducer and a 15-mm Lasso Snare, achieving complete extraction without complications.
This case highlights the technical challenges of extracting fractured lumenless leads in pediatric patients. Procedural success requires specialized equipment, operator expertise, and careful imaging guidance. Early recognition and management of fractured or retained leads are essential to prevent potential embolic or infectious complications in the growing pediatric population.
Implantable dual-chamber pacemakers (PMs), widely used in adults for the management of rhythm disorders, are also employed in pediatric patients. An international consensus statement on the use of cardiovascular implantable electronic devices (CIEDs) in the pediatric population is available [1]. The use of PMs in children is associated with a higher complication rate. In smaller children (<15 kg), the preferred approach is surgical—via median sternotomy or mini-sternotomy—with implantation of epicardial leads and an abdominal pacemaker. In older children (>15 kg), transvenous implantation should be considered [2]. Both epicardial and endocardial leads may require replacement over time due to fracture, insulation defects, or infection. Fractured leads are often left in situ because of the technical challenges associated with their removal. Currently, no specific guidelines exist for the management of such scenarios in children [2]. In recent years, there has been a steady increase in the use of smaller-caliber, lumenless leads, particularly in younger patients with small vessel dimensions [3,4]. Herein, we present the case of a pediatric patient with an abandoned lumenless lead fragment floating in the left ventricular outflow tract.
A 17-year-old male with congenitally corrected transposition of the great arteries and congenital atrioventricular block underwent resection of a subvalvular fibrous membrane and implantation of an abdominal dual-chamber epicardial pacemaker (DDD) at the age of two years. Over the subsequent years, the patient underwent multiple generator replacements, using the original epicardial leads. The third generator replacement, performed at age 11, was complicated by a pocket infection requiring device removal. The epicardial leads were transected after traction to minimize residual intrathoracic and intra-abdominal components. Following adequate antibiotic therapy, a dual-chamber endocardial pacemaker was implanted. For this procedure, Medtronic 3830 SelectSecure™ 4F lumenless leads were chosen due to their smaller caliber compared to standard leads [3,4]. At routine follow-up only three years later, fracture of the ventricular lead was detected. Transvenous lead extraction was attempted using a Byrd Dilator Sheath Telescoping Polypropylene system. During traction, the ventricular lead fractured completely, leaving a 2-cm segment—including the active-fixation tip anchored to the interventricular septum—in situ. The atrial lead was also removed. A new dual-chamber endocardial pacemaker was then implanted using Capsure-Fix 6F and Capsure-Sense 6F leads.
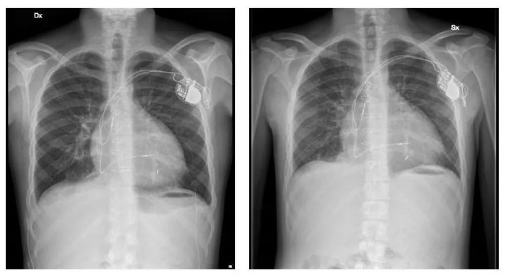
Three years later, the patient developed a subxiphoid abscess involving the abandoned epicardial leads, with adjacent lung involvement. Echocardiography also revealed a fragment of the lumenless lead, retained for four years and initially adherent to the free wall of the subpulmonary left ventricle, now oscillating clockwise within the ventricular cavity (Videos 1,2). Radiological imaging confirmed an additional fracture of the previously abandoned lead fragment (Figure 1).
A percutaneous retrieval was planned on the same day as the surgical removal of the infected epicardial leads. The procedure was performed via right femoral venous access with a 5F introducer sheath. Following confirmation of a straight venous course, an 8.5F Zurpaz Medium Curl catheter was advanced.
An initial attempt was made using a 20-mm Lasso Snare catheter to engage the screw of the 3830 lead. While maintaining controlled traction on the screw, the Zurpaz introducer was gently advanced into the left ventricular cavity to reach the target site. During traction, a secondary fracture of the screw occurred, allowing only partial extraction. Multiple subsequent retrieval attempts were performed using a new 15-mm Lasso Snare to re-engage the residual fragment.
The standard extraction technique involved engaging the fragment with the snare, advancing an appropriately sized introducer over the snare under steady traction, and, once the fragment was fully enclosed within the introducer, applying additional traction to achieve complete retrieval. Ultimately, a 15-mm Lasso Snare was used to capture the remaining lead segment adherent to the subpulmonary free wall of the left ventricle. (video 3) With gentle, continuous traction, the fragment was advanced into the introducer and removed in a single piece. The procedure was completed uneventfully (Figure 2).
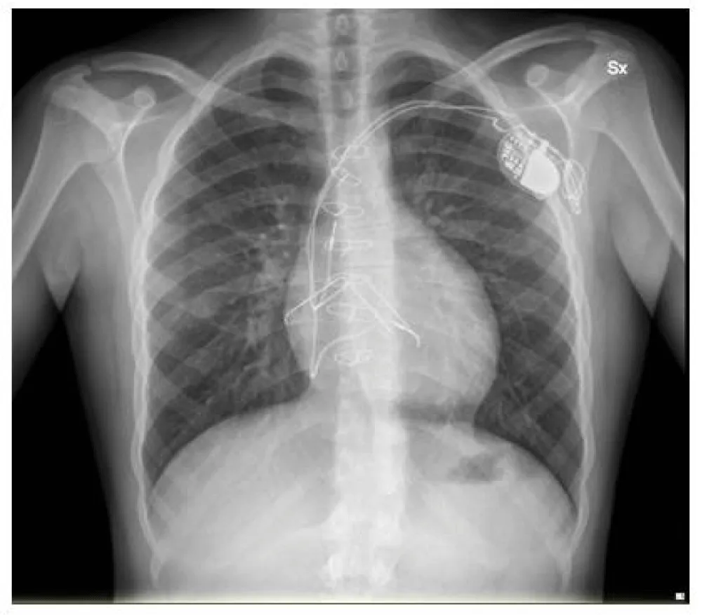
Final transthoracic echocardiography revealed no pericardial effusion. The Zurpaz introducer was removed following aspiration, and hemostasis was achieved by manual compression. Post-procedure chest radiography confirmed the absence of residual lead fragments. The patient was discharged in good clinical condition with a dual-chamber pacemaker programmed in DDD mode, demonstrating appropriate atrial sensing and capture. At one-year follow-up, fracture of the 6F atrial lead was detected. With the device programmed in VVIR mode, the patient maintained good functional status and excellent exercise tolerance. After having verified the patency of the superior venous axis, we’ll plan the extraction of the fractured lead and of the intact ventricular lead using a Liberator® Beacon® Tip Locking Stylet at the time of the next generator replacement (Figure 3). Furthermore, in the same procedure, the patient will undergo leadless pacemaker implantation. Leadless pacemakers have been developed to overcome many of the challenges of transvenous pacing, including complications related to leads or pacemaker pockets [5,6]. In fact, this patient experienced complications involving every type of implanted lead: infection of epicardial leads, fracture of an endocardial lumenless lead, and fracture of a conventional atrial lead.
CIED implantation in pediatric patients can be associated with a range of complications, including ventricular wall perforation [7], superior vena cava syndrome [8] in the case of transvenous implantation, and coronary artery compression [9] in the case of epicardial leads. Such events may be influenced by patient anatomy, age, and lead type. In these scenarios, lead removal and replacement are generally recommended [10].
The 2021 PACES expert consensus document outlines indications for lead extraction in children, although these are largely extrapolated from adult populations. Currently, no specific recommendations exist regarding prophylactic removal of fractured leads in pediatric patients. However, the frequent and recurrent complications observed in young patients may justify the removal of retained lead fragments whenever feasible, even in asymptomatic cases and before complications arise. Lumenless leads are increasingly used in children due to their perceived safety, durability, and suitability for patients with small-caliber vasculature. However, in our case, simple-traction extraction of a fractured lumenless lead resulted in complete lead fracture, necessitating complex fragment retrieval. Lead extraction should therefore be performed exclusively by interventional teams with proven expertise and specialized training in this field [11].

PTZ: We're glad you're here. Please click "create a new query" if you are a new visitor to our website and need further information from us.
If you are already a member of our network and need to keep track of any developments regarding a question you have already submitted, click "take me to my Query."