Global Journal of Medical and Clinical Case Reports
1Department of Medicine, Division of Hematology, University of the Philippines-Philippine General Hospital, Philippines
2Department of Medicine, Division of Infectious Diseases, University of the Philippines-Philippine General Hospital, Philippines
3Department of Medicine, University of the Philippines-Philippine General Hospital, Philippines
4Department of Laboratories, University of the Philippines-Philippine General Hospital, Philippines
Cite this as
Balane JAL, Guiao PNA, Ato BP, B Bagsic CAJ, A Pacana DJ, G Gana JE, et al. Tuberculosis-Associated Hemophagocytic Lymphohistiocytosis in a Tertiary Hospital in the Philippines: A Case Series and Review of Literature. Glob J Medical Clin Case Rep. 2025:12(11):225-230. Available from: 10.17352/gjmccr.000231
Copyright License
© 2025 Balane JAL, et al. This is an open-access article distributed under the terms of the Creative Commons Attribution License, which permits unrestricted use, distribution, and reproduction in any medium, provided the original author and source are credited.Background and objectives: Hemophagocytic Lymphohistiocytosis (HLH) is a life-threatening hyperinflammatory syndrome characterized by uncontrolled immune activation leading to multiorgan dysfunction. It poses significant diagnostic and therapeutic challenges due to its nonspecific presentation and overlap with other systemic diseases. Among infectious triggers, Mycobacterium Tuberculosis (MTB)—endemic in the Philippines—remains a rare but serious cause of secondary HLH. This report aims to describe the clinical presentation, diagnostic challenges, management, and outcomes of patients diagnosed with Tuberculosis-Associated HLH (TB-HLH) in a tertiary hospital in the Philippines.
Methods/Case Summary: We report four adult cases of HLH secondary to confirmed MTB infection. Three of four patients met the HLH-2004 diagnostic criteria, all had a high Hscore, and TB was identified through microbiologic, molecular, or histopathologic evidence. Clinical features, laboratory findings, treatment regimens, and outcomes were reviewed.
Discussion and Conclusion: Patients presented with prolonged fever, cytopenia, unexplained hepatosplenomegaly, and elevated inflammatory markers. Diagnosis was often delayed due to overlapping features of disseminated TB and HLH. The patients received concurrent Anti-Tuberculosis Therapy (ATT) and immunomodulatory treatment, with variable clinical responses and outcomes. TB-HLH represents a diagnostic and therapeutic emergency that requires early recognition and simultaneous management of both the infection and the hyperinflammatory response. In endemic settings such as the Philippines, clinicians should maintain a high index of suspicion for HLH in patients with severe or disseminated TB. This report presents, to our knowledge, the first documented case series of TB-HLH in the country, underscoring the need for increased awareness and multidisciplinary care.
Hemophagocytic Lymphohistiocytosis (HLH) is a life-threatening systemic disease characterized by fever, rashes, lymphadenopathy, cytopenia, hepatosplenomegaly, acute liver failure, and neurologic symptoms. It is caused by dysfunctional immune regulation leading to excessive activation of lymphocytes and macrophages and subsequent systemic inflammation and tissue dysfunction [1-4].
HLH represents the most severe form of inflammatory reactions and is distinguished by the severity of both clinical and laboratory abnormalities, as well as the progressive nature of its symptoms [3]. It is an extremely challenging condition because of the overlap of clinical features with many other conditions, especially in critically ill patients, the urgent need for immunosuppression often in the setting of infected patients, and the associated high mortality risk [1]. Early diagnosis is crucial to initiate treatment before irreversible damage from hypercytokinemia occurs. There is no single characteristic that is definitive for HLH, but the combination of prolonged fever, hepatosplenomegaly, and cytopenia should prompt suspicion. When hyperinflammation cannot be controlled, patients succumb to infections caused by prolonged neutropenia, CNS dysfunction, and multiorgan failure [3]. The overall estimated 3-year survival on the HLH-94 and HLH-2004 protocols was 55-67%. Adults with HLH overall fare worse than children [1,4].
Tuberculosis (TB) is a preventable and curable disease. In 2022, it was the world’s second leading cause of death from a single infectious agent after coronavirus (COVID-19). At present, more than 10 million people continue to fall ill from this disease every year. Without treatment, the death rate from TB disease is high, about 50%. Worldwide, the Philippines ranks fourth in TB incidence [5]. Approximately 1 million Filipinos have active TB, and nearly 70 Filipinos die from this curable disease [6]. HLH is a rare but potentially fatal complication of TB with reported survival rates of 40-60%. [7]. Due to the nonspecific presentations of both TB and HLH, diagnosis is often difficult. There are only 116 reported cases of TB-associated HLH (TB-HLH) cases in the literature worldwide [2,8]. Here, we present 4 cases of HLH associated with TB that were encountered in a tertiary hospital in the Philippines. This report aims to describe the clinical presentation, diagnostic challenges, management, and outcomes of patients diagnosed with TB-HLH in a tertiary hospital in the Philippines. To the best of our knowledge, this is the first case series on TB-HLH in the country.
A 21-year-old Filipino female with a history of depressive disorder presented with a three-week history of fever, cough, night sweats, weight loss, and weakness. Initially managed for septic shock secondary to pneumonia at a local hospital, she was later transferred to our institution. On admission, she remained hypotensive but responsive to fluids and was started on broad-spectrum antibiotics for hospital-acquired pneumonia. She subsequently developed respiratory failure requiring intubation and was clinically diagnosed with pulmonary and possible meningeal TB, for which anti-tuberculosis therapy (ATT) was initiated.
Progressive pancytopenia, persistent fever, and splenomegaly raised suspicion for HLH. Laboratory findings showed markedly elevated ferritin (1,110 ng/mL), triglycerides (301 mg/dL), AST (226 U/L), and LDH (1,530 U/L), with decreased fibrinogen (192 mg/dL). She fulfilled five of eight HLH-2004 criteria with an HScore of 199, suggesting an 80–88% probability of HLH secondary to miliary TB. Dexamethasone 10 mg/m² was started with initial improvement.
However, her condition eventually deteriorated with recurrent fever, seizures, and worsening cytopenia. Bone marrow biopsy revealed hemophagocytosis, fulfilling six diagnostic criteria and increasing her HScore to 234 (98–99% probability of HLH). Etoposide was initiated following the HLH-94 protocol, but the patient succumbed to septic shock secondary to hospital-acquired pneumonia.
A 30-year-old Filipino female with Systemic Lupus Erythematosus (SLE) diagnosed in 2017, maintained on chronic steroids, presented with a two-week history of intermittent fever, headache, anorexia, and bilateral knee pain. She had previously been diagnosed with bacteriologically confirmed Pulmonary Tuberculosis (PTB) one year prior, but discontinued ATT due to hepatotoxicity and was lost to follow-up.
On admission, she was hypotensive, tachycardic, and tachypneic but afebrile and well-oxygenated. Physical examination revealed pallor and bilateral knee swelling with tenderness. Suspecting septic arthritis and an SLE flare, antibiotics and steroids were initiated. Arthrocentesis yielded minimal, blood-tinged synovial fluid without microbial growth. Despite treatment, she developed recurrent high-grade fever and progressive pancytopenia (hemoglobin 80 g/L, WBC 1.5 × 10⁹/L, platelets 100 × 10⁹/L).
Laboratory evaluation showed hyperferritinemia (>10,000 ng/mL), hypertriglyceridemia (241.6 mg/dL), elevated fibrinogen (981 mg/dL), and normal liver enzymes. Bone marrow biopsy revealed trilineage hematopoiesis with hemophagocytosis and poorly formed granulomas consistent with tuberculosis, along with moderate reticulin fibrosis (WHO grade 2–3). The HScore of 233 corresponded to a 98–99% probability of HLH.
The patient’s condition rapidly deteriorated with altered sensorium and respiratory failure requiring intubation. Anti-Tuberculosis Therapy (ATT) and dexamethasone (10 mg/m², HLH-94 protocol) were started, with planned etoposide therapy. Unfortunately, she succumbed to severe sepsis before further treatment could be administered.
A 24-year-old Filipino male with intellectual disability and bronchial asthma presented with a three-week history of recurrent generalized tonic-clonic seizures, intermittent fever, low back pain, and anorexia. Initial workup at a local hospital revealed pancytopenia.
(hemoglobin 101 g/L, WBC 1.72 × 10⁹/L, platelets 59 × 10⁹/L) with unremarkable cranial CT and chest radiograph. Despite oral antibiotics, he continued to experience fever, seizures, gum bleeding, dysuria, and vomiting, prompting referral to our institution for recurrent seizures.
On admission, he was awake and hemodynamically stable. He was managed for presumed infection-related seizures and pancytopenia, started on antibiotics, and further evaluated. Physical examination revealed pallor, gum bleeding, and cervical lymphadenopathy. Laboratory results showed worsening cytopenia (hemoglobin 65 g/L, WBC 1.2 × 10⁹/L, platelets 95 × 10⁹/L), markedly elevated ferritin (>5,000 ng/mL) and LDH (2,103 U/L), direct hyperbilirubinemia, and elevated liver enzymes. Coagulation profile and HIV screening were unremarkable. With an initial HScore of 156 (25–40% probability of HLH), HLH was considered.
Subsequent workup revealed ferritin >10,000 ng/mL, low fibrinogen (157 mg/dL), hypertriglyceridemia (470 mg/dL), and thoracolumbar X-ray findings consistent with Pott’s disease. Urine and blood cultures were negative. Given the high suspicion for HLH secondary to disseminated TB, dexamethasone (10 mg/m²) was initiated. Bone marrow biopsy demonstrated hemophagocytosis, fulfilling 5 of 8 HLH-2004 diagnostic criteria and increasing the HScore to 278 (>99% probability of HLH). Etoposide was added to therapy; however, ATT was withheld due to elevated liver enzymes. Despite ongoing treatment, the patient developed hospital-acquired pneumonia complicated by status asthmaticus and expired on the fifth hospital day.
A 61-year-old Filipino male with no known comorbidities presented with a three-week history of fever, jaundice, malaise, anorexia, and axillary and inguinal lymphadenopathy.
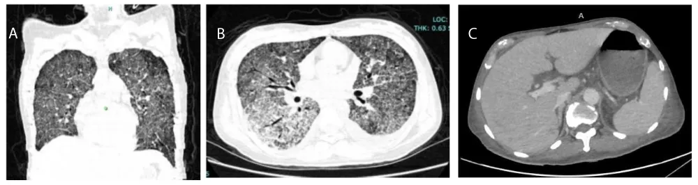
He was initially managed as community-acquired pneumonia and a possible liver abscess with antibiotics. Laboratory evaluation revealed anemia (hemoglobin 81 g/L), thrombocytopenia (platelets 29 × 10⁹/L), neutrophilic leukocytosis (WBC 11.7 × 10⁹/L), prolonged coagulation times, elevated AST (84 U/L) and ALP (441 U/L), and direct hyperbilirubinemia. HIV screening and chest X-ray were unremarkable. Abdominal CT showed early liver cirrhosis, splenomegaly, mesenteric stranding, and multiple lymphadenopathies (retroperitoneal, retrocrural, and thoracic para-aortic).
Despite antibiotic therapy, he developed persistent high-grade fever (up to 39.3°C), progressive cytopenia, coagulopathy, and hepatosplenomegaly. Ferritin was markedly elevated (>100,000 ng/mL). With an initial HScore of 194 (83% probability of HLH), HLH secondary to disseminated TB or a possible lymphoproliferative disorder was considered. Laboratory results showed low fibrinogen (165 mg/dL), elevated LDH (344 U/L), and normal triglycerides (113 mg/dL). Dexamethasone (10 mg/m²) and ATT were initiated, resulting in transient improvement.
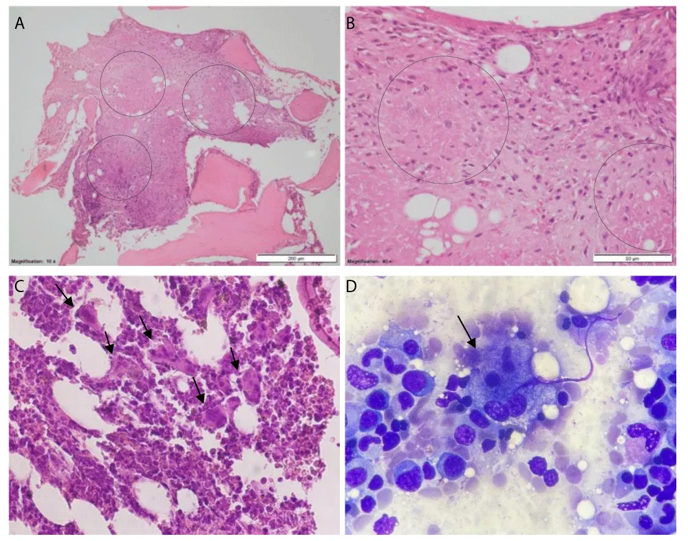
Bone marrow biopsy demonstrated increased histiocytes with hemophagocytosis, raising the HScore to 229 (97.8% probability of HLH). Axillary lymph node biopsy revealed chronic necrotizing, non-granulomatous lymphadenitis without malignant infiltrate, and acid-fast staining was negative. Etoposide (50 mg/m², dose-adjusted for hepatic function) was started to control immune dysregulation. Despite therapy, the patient developed hospital-acquired pneumonia and expired from septic shock (Figures 1,2) [Tables 1,2].
HLH is a life-threatening hyperinflammatory syndrome characterized by excessive activation of macrophages and cytotoxic T lymphocytes. These activated macrophages become highly phagocytic, engulfing red blood cells, leukocytes, platelets, and their precursors within bone marrow and other tissues. The uncontrolled activation of the immune system leads to massive cytokine release, involving IFN-γ, TNF-α, IL-6, IL-10, IL-12, and soluble IL-2 receptor (sCD25), culminating in multiorgan dysfunction and, if untreated, high mortality [1–4].
The HLH-2004 criteria remain the most widely used diagnostic framework, requiring fulfillment of five out of eight clinical and laboratory parameters suggestive of excessive immune activation—fever, splenomegaly, cytopenia, hypertriglyceridemia and/or hypofibrinogenemia, hemophagocytosis, elevated ferritin, elevated soluble IL-2 receptor, and decreased or absent NK cell activity [4]. These criteria help distinguish HLH from physiologic inflammatory responses such as sepsis or autoimmune flare by highlighting the characteristic triad of immune dysregulation, cytokine storm, and immune-mediated tissue injury [1]. Although hemophagocytosis in bone marrow or tissue biopsies supports the diagnosis, it is absent in up to 20% of confirmed HLH cases [1,3].
Ferritin, an acute-phase reactant secreted by activated macrophages, is a useful initial screening tool. While the HLH-2004 threshold (>500 μg/L) is sensitive, studies have shown that ferritin levels >3,000 μg/L should raise strong suspicion, and levels >10,000 μg/L are highly specific for HLH [10,11]. However, ferritin alone is nonspecific, underscoring the importance of integrating clinical and laboratory data in diagnosis, particularly when infection, malignancy, or autoimmune diseases coexist.
The HScore, developed by Fardet et al. in 2014, has emerged as a practical diagnostic tool for adults with suspected secondary HLH. Incorporating nine weighted variables— clinical features, cytopenia, biochemical markers, and bone marrow findings—the HScore demonstrated 92% sensitivity and 94% specificity at a cutoff of 169 [12]. In our setting, the HScore has been particularly valuable because certain HLH-2004 parameters (e.g., NK cell activity and soluble CD25 are not readily available in most Philippine institutions. Thus, all cases in this series were diagnosed using the HScore, allowing timely recognition and initiation of therapy.
Consistent with previous reports, prolonged fever unresponsive to antibiotics, bicytopenia or pancytopenia, and hyperferritinemia were universal findings in our patients [1-3,13,14]. Fever reflects cytokine-mediated systemic inflammation (notably IL-1 and TNF-α), while cytopenia results from bone marrow suppression and macrophage overactivity rather than hemophagocytosis alone [3]. All patients also demonstrated neurological and respiratory deterioration—manifesting as seizures, altered sensorium, and respiratory failure—which are ominous indicators of severe systemic involvement and inadequate inflammatory control [10].
Notably, cutaneous manifestations, which occur in 6–65% of HLH cases, were absent in our series. Dermatologic findings such as erythematous maculopapular rashes or purpura have been attributed to lymphocytic infiltration and, occasionally, cutaneous hemophagocytosis [10]. In contrast, hepatic dysfunction was a consistent finding, aligning with reports that highlight hepatic involvement as both a diagnostic clue and prognostic factor. Indeed, HLH should be considered in cases of unexplained hepatitis or acute liver failure [10].
Delayed diagnosis remains a significant challenge in resource-limited settings. Empeño et al., in a study conducted in the same tertiary institution, reported a median delay of five days from admission to diagnosis [13]. This reflects diagnostic difficulty due to the overlap of HLH symptoms with more common entities such as sepsis or severe infection. However, HLH should be suspected in deteriorating patients with persistent fever and cytopenia despite adequate antimicrobial therapy. Unlike sepsis, HLH involves persistent T-cell and macrophage activation driving ongoing immune injury, a distinction critical for timely intervention [15].
In TB-endemic regions such as the Philippines, Mycobacterium tuberculosis must always be considered as a potential trigger for secondary HLH. Diagnosing TB can be challenging, especially in extrapulmonary or disseminated cases where microbiological confirmation may be limited by sample quality or sensitivity of diagnostic tests [16]. Therefore, in patients with nonspecific symptoms such as prolonged fever, night sweats, and weight loss, TB-HLH should remain a differential diagnosis even in the absence of direct microbiologic evidence.
A systematic review by Fauchald et al. analyzed 116 cases of TB-HLH and found that fever.
(98%), cytopenia (89%), and hemophagocytosis (91%) as the most consistent features [2]. Most patients were diagnosed using HLH-2004 criteria, and the majority had splenomegaly, hypertriglyceridemia, and hypofibrinogenemia. Importantly, prompt initiation of both anti-tuberculosis therapy (ATT) and immunomodulatory treatment (e.g., corticosteroids, IVIG, etoposide) improved survival, which reached 55% overall and was highest in patients <30 years of age.
Individual reports further support the dual-targeted approach of treating both the infectious trigger and hyperinflammation simultaneously. Trovik et al. reported a case of miliary TB-HLH successfully managed with ATT, corticosteroids, and etoposide per HLH94/HLH-2004 protocols [16]. Similarly, Al Mashdali et al. and Gautam et al. described improved outcomes with combinations of ATT, corticosteroids, and IVIG [14,17]. In contrast, delayed treatment or omission of immunomodulatory therapy often resulted in poor outcomes, highlighting the delicate balance between suppressing hypercytokinemia and preserving immune defense.
Given the heterogeneity of adult HLH, a “one-size-fits-all” regimen is rarely appropriate. The HLH-94 protocol remains the cornerstone for secondary HLH management, though adaptations are often necessary in adults to account for comorbidities and infectious triggers. At our institution, etoposide was used in severe cases due to its ability to eliminate activated T cells and macrophages, despite concerns about hepatotoxicity and immunosuppression. IVIG was considered an alternative immunomodulator for its antiinflammatory properties, including cytokine neutralization and Fc receptor blockade, although accessibility and cost remain barriers [4].
Management of HLH in the context of sepsis or infection-associated hyperinflammation continues to be debated. Janka et al. suggested that a short course of corticosteroids or IVIG may be beneficial to curb hypercytokinemia in early organ dysfunction, provided that appropriate antimicrobial coverage is ensured [3,17]. In all four cases presented, delayed diagnosis and incomplete HLH-directed therapy contributed to poor outcomes. This underscores the need for early recognition, integrated infectious and immunomodulatory management, and further research into less toxic yet effective therapies—such as JAK inhibitors (e.g., ruxolitinib) and monoclonal antibodies targeting cytokine pathways [17,18].
Despite increasing recognition of TB-HLH, no consensus guidelines currently exist for its management. Our series adds to the limited literature from TB-endemic countries by emphasizing the importance of high clinical suspicion, rapid diagnosis using accessible tools such as the HScore, and prompt initiation of both ATT and anti-hyperinflammatory therapy.
HLH is a challenging diagnosis that requires early recognition and treatment of both the underlying trigger and hyperinflammatory state. The overlapping clinical presentation of TB and HLH poses a great challenge, as delay in recognition and management of these diseases could lead to increased mortality. As TB remains endemic in the country with well-established screening and treatment protocols, clinicians must be able to detect, report, and treat cases. The cases presented illustrate the need for clinical suspicion, prompt diagnosis, and timely management of these two diagnoses.

PTZ: We're glad you're here. Please click "create a new query" if you are a new visitor to our website and need further information from us.
If you are already a member of our network and need to keep track of any developments regarding a question you have already submitted, click "take me to my Query."