Cite this as
Matthews LR, Cooper M, Carney D, Danner O, Nguyen J, et al. (2017) Traumatic Injuries Requiring Simultaneous Emergent Operative Procedures, Knife Wounds to the Top of the Skull and the Abdomen. Glob J Medical Clin Case Rep 4(4): 083-084. DOI: 10.17352/2455-5282.000056The simultaneous commencement of operative interventions by two or more surgical teams in the multiply injured patient is gaining more acceptance. We describe a rare case of concomitant penetrating injuries to the brain, chest and abdomen that required an orchestrated immediate approach and resulted in a good outcome. Both injuries were life threatening. A coordinated effort between Trauma Surgery and Neurosurgery working simultaneously produced an excellent outcome for this patient.
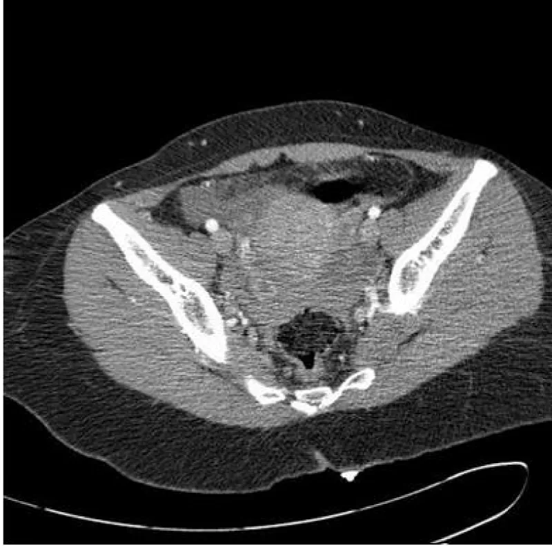
A 29-year-old female presented to a Level I Trauma Center after sustaining multiple stab wounds to the top of the head, right chest, and right upper quadrant of the abdomen. After initial stabilization, skull films (anterior and lateral films) showed a knife blade lodged inside her skull (Figure 1, arrow).Patient had altered mental status on admission with a GCS of 12 and a right upper extremity hemiparesis. Computed tomographic scan of the chest and abdomen revealed right apical pneumothorax, blood in Morrison’s pouch (Figure 2, arrow), and pelvic hemorrhage (Figure 3). She was taken to the operating room by the trauma and neurosurgery teams for simultaneous procedures including craniotomy with en-block removal of the knife blade and an exploratory laparotomy, cholecystectomy, right tube thoracostomy, and hemostatic control of a grade 2 liver laceration in segment V. The bed/operating table was turned sideways with middle of the operating table across from the anaesthesia machine and the head pointed into the room. The Trauma Surgery team was positioned below the ventilator circuit and the Neurosurgery team above. Two separate operating room set ups were used by the operative teams. The patient was placed in a supine position on the operating table for both procedures. The simultaneous operations lasted approximately two hours. There were not any operative complications or any problems between the trauma and neurosurgery teams.
Postoperative magnetic resonance image of the head showed a stable non-expanding hematoma in the left frontal lobe. The patient was discharged home on postoperative day 6 with outpatient rehabilitation for resolving right hemiparesis. Patient was seen in outpatient Trauma Clinic at 2 and 6 weeks post op. The right hemiparesis had completely resolved at 6 weeks, and complete resolution of her abdominal injuries were observed.
It is exceedingly rare for patients to present with surgically correctable causes of hemorrhage in the head and abdomen from penetrating injuries [1]. ATLS guidelines recommend emergent laparotomy for a positive FAST exam with hypotension unresponsive to initial resuscitation. Timing of craniotomy with concomitant abdominal hemorrhage is less well described. Some authors advocate preferentially addressing the most severe injury at presentation [2]. Surgical dogma states intracranial hemorrhage is most unlikely to lead to hemodynamic instability or hypotension, and urgent laparotomy has been traditionally performed first 8.5 times in 10 when concurrent injuries are present [2]. Furthermore, the immediate availability of the trauma surgeons and their involvement in initial evaluation of polytrauma patients has favored the priority of urgent laparotomy over craniotomy.
Although the rates of death related to traumatic brain injury have been decreasing, they continue to account for approximately 30% percent of all deaths from acute trauma and 2.2% of all deaths in the United States [3]. More recently, concerns have been raised regarding the risk of progressive intracranial hemorrhage while intra-abdominal or thoracic exploration is in progress. Even an abbreviated laparotomy may delay management of brain injury by one to two hours. Benefits of urgent craniotomy include limiting secondary brain insults due to hypoxia and hypotension, two of the most powerful indicators of poorer outcomes in traumatic brain injuries [4]. The development of advanced trauma centers and operating room flexibility has opened the opportunity for simultaneous neurosurgical and abdominal or thoracic interventions.
Moore et al., presented two cases and a literature review concerning simultaneous exploration [5]. Both cases were due to motor vehicle collisions and both patients survived with eventual discharge to acute rehabilitation center. The first patient had a positive FAST and a large subdural hematoma. The efficient management of SDH at the time of laparotomy resulted in improved outcome. The second patient had intra-abdominal free fluid on CT scan, diffuse axonal injury and cerebral contusion. The placement of ventriculostomy as early as possible in the hospital course resulted in accurate monitoring of ICP and maintenance of adequate CPP intraoperatively. Hernandez et al., described practical patient positioning for these simultaneous procedures [6]. Classic trauma laparotomy positioning leaves the neurosurgery team closer to the anesthesiology team. Craniotomy positioning may leave the abdomen obscured by the patient’s ipsilateral arm and fixation of the skull may impede torso/abdominal manipulation. This study involved a questionnaire given to General Surgeons and Neurosurgeons, showing three patient positions and measured accessibility for operative exploration. This study showed that the preferred position of both specialties is one where a roll is placed under the shoulder ipsilateral to the craniotomy and both arms are extended. The anesthesia team and circuit is positioned in front of the patient while the neurosurgery team is located cephalad. In this set-up, pin-fixation of the head is not performed and the General Surgeons are in usual position with access to the abdomen and chest.
Simultaneous exploration of polytrauma patients should be increasingly utilized in the future, especially with the advent of large hybrid operating rooms and versatile CT-scans. Logistically, simultaneous exploration is feasible with both teams making concessions for optimal patient positioning. Research is needed to look at the indications, resource utilization, outcome and cost-benefit of one single operation by two teams as compared to sequential operations. Complication rates, mortality and surgical site infections in these simultaneous explorations versus historical controls should also be examined.

PTZ: We're glad you're here. Please click "create a new query" if you are a new visitor to our website and need further information from us.
If you are already a member of our network and need to keep track of any developments regarding a question you have already submitted, click "take me to my Query."